Ortopedia Pediátrica en CDMX
Tamiz de cadera mediante ultrasonografía con método de Graf
Médica Sur Tlalpan
Torre 1, Consultorio 630, Sexto piso
Puente de Piedra 150, Toriello Guerra
Tlalpan, Ciudad de México, CDMX
Horario para agendar cita
Lunes a Viernes
8:00 A.M. - 6:00 P.M.
¿Por qué es importante que un ortopedista pediatra trate las fracturas de los niños?
Los huesos de los niños se encuentran en constante crecimiento y cuentan con estructuras
llamadas cartílagos de crecimiento que pueden verse comprometidas al presentar una
fractura por lo que debe de realizarse un tratamiento especializado pensando en el futuro
crecimiento del hueso para limitar las secuelas que puedan generarse al crecer.
Por esto es recomendado que las fracturas de los niños deban ser tratadas y tener un
seguimiento por parte del ortopedista pediatra.
Principales fracturas
- Fracturas de codo
- Fractura supracondílea
- Fractura de cóndilo humeral
- Fractura de troqulea
- Fracturas de antebrazo
- Fractura de radio y cubito
- Fracturas de miembros pélvicos
- Fracturas de fémur, tibia y peroné
Para todas estas y más fracturas le proporcionaré el mejor tratamiento de principio a fin, así
como el seguimiento para evitar complicaciones y secuelas que nos pueden causar
estos traumatismos y de esta forma asegurarnos que su hijo tenga una infancia feliz y sin
dolor o limitación.
¡Agenda tu cita!
Médica Sur Tlalpan
Torre 1, Consultorio 630, Sexto piso
Puente de Piedra 150, Toriello Guerra
Tlalpan, Ciudad de México, CDMX
Horario para agendar cita
Lunes a Viernes
8:00 A.M. - 6:00 P.M.
Corrección de fracturas con mala consolidación
Hay algunos casos donde las fracturas pueden no sanar como es debido y generarse
deformidades angulares o torsionales las cuales afectan el movimiento correcto de las
articulaciones y pueden afectar la calidad de vida.
Para estos casos realizamos un protocolo de estudio para definir los centros de rotación y
angulación, así como hago uso de tecnologías actualizadas para el manejo de estos
padecimientos delicados como lo es el modelaje 3D por computadora para realizar una
cirugía virtual o en un modelo de impresión en 3D para brindarle el mejor resultado



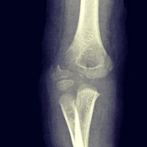
Fractura distal de radio



fractura de condilo humeral



Fractura supracondílea de humero


Fractura radiocubital



Fractura de radio distal
Dr. Iñaki Hernández Aburto
¡Hola! Soy Ortopedista y Traumatólogo, con una amplia experiencia tanto en el ámbito general como en el pediátrico. Estoy certificado por el Colegio Mexicano de Ortopedia y Traumatología A.C., lo que respalda mi formación y conocimientos en esta especialidad.
La Ortopedia y Traumatología me apasiona porque me permite trabajar de manera integral con mis pacientes, abordando desde lesiones deportivas hasta enfermedades degenerativas o traumatismos. Me enorgullece poder utilizar mis conocimientos y habilidades para ayudar a las personas a superar sus problemas ortopédicos y recuperar su funcionalidad.
En mi consulta, recibirás un trato cálido, respetuoso y empático. Me aseguraré de escuchar tus inquietudes, responder a tus preguntas y trabajar en colaboración contigo para desarrollar un plan de tratamiento integral que se ajuste a tus necesidades y metas individuales.
¡Espero poder conocerte pronto y brindarte la atención médica de calidad que mereces!
Cédula: 10252368
Universidad Tominaga Nakamoto
Universidad Autónoma de México
Cédula: 13024053
Instituto Nacional de Pediatría, Ciudad de México, CDMX
Colegio Mexicano de Ortopedia y Traumatología A.C.
Servicios pediátricos
Las consultas de niño sano ortopédico a intervalos regulares son fundamentales para el seguimiento, la detección temprana y el tratamiento de problemas ortopédicos en los niños.